皮肤集成电子领域取得新进展

发布日期:2023-04-20 浏览次数:3990


皮肤集成电子因其在个性化健康管理、通讯和人机交互等多领域的应用潜力而受到广泛关注。其中,“纹身电子”(表皮电子)泛指一种可直接贴在皮肤上的柔性贴片,具有临时纹身的轻松、舒适等特点。纹身,将墨水或染料颜料注入皮肤真皮层,是一种已普遍存在的身体修饰技术。迄今已报道的“纹身电子”大多以皮肤表面集成的形式呈现,而使用真皮纹身实现电生理信号的精确诊断是一种尚未探索的皮肤集成电子范式。

传统Ag/AgCl凝胶电极由于溶剂挥发导致的信号衰减、电解质刺激皮肤和运动伪影干扰等问题,不适合长期使用。电极的物理特性,如电导率、电极/皮肤接触阻抗、机械耐久性等均会影响无创电生理评估的可靠性。与皮肤高度共形贴附的超薄纹身干电极有望解决Ag/AgCl凝胶电极的现存问题,实现低电极/皮肤接触阻抗、减轻运动伪影,实现长期稳定监测。从这个意义上说,穿透表皮(角质层和活表皮)的真皮电极能够提供更为紧密、稳定和高度顺应的界面,消除电极/表皮接触阻抗的影响(特别表皮角质层),进一步减弱运动伪影,实现高信噪比电生理信号的采集。

与依赖于电子和空穴传输的传统无机材料相比,聚合物链级离子和电子导电性的共存使之成为生物电子应用中最具吸引力的候选材料。其中,聚3,4-乙烯二氧噻吩:聚苯乙烯磺酸(PEDOT:PSS)因其导电率可调、良好的机械柔性和生物相容性等优点,已被广泛应用于柔性可穿戴电子设备。然而,未经处理的PEDOT:PSS导电性和可拉伸性较低,很大程度上限制了其应用。



图1 用于体外和体内电生理信号监测的超柔性纹身电极


近日,清华大学深圳国际研究生院徐晓敏、成会明、马少华团队开发了一种基于PEDOT:PSS改性的导电聚合物体系,PEDOT:PSS/EG/LiTFSI(以下简称PPEL),制得的超柔性PPEL纹身电极兼具良好的生物相容性、高导电性(5165 S cm-1)和高拉伸性(断裂伸长率>56.9%),能够实现与人体皮肤的共形贴附。该柔性纹身电极相较于商业化的Ag/AgCl凝胶电极(31.7 kΩ cm2)在100 Hz频率下表现出更低的皮肤阻抗(10.6 kΩ cm2)和优异的稳定性,在静、动态监测过程中产生的信号噪音极低,实现在皮肤及身体运动等复杂状况下高分辨实时心电(ECG)和肌电(EMG)信号监测。


图2 用于ECG和EMG监测的超柔性表皮电极


图3 PPEL柔性纹身电极的微结构表征



图4 PPEL柔性自支撑电极的电学和机械属性


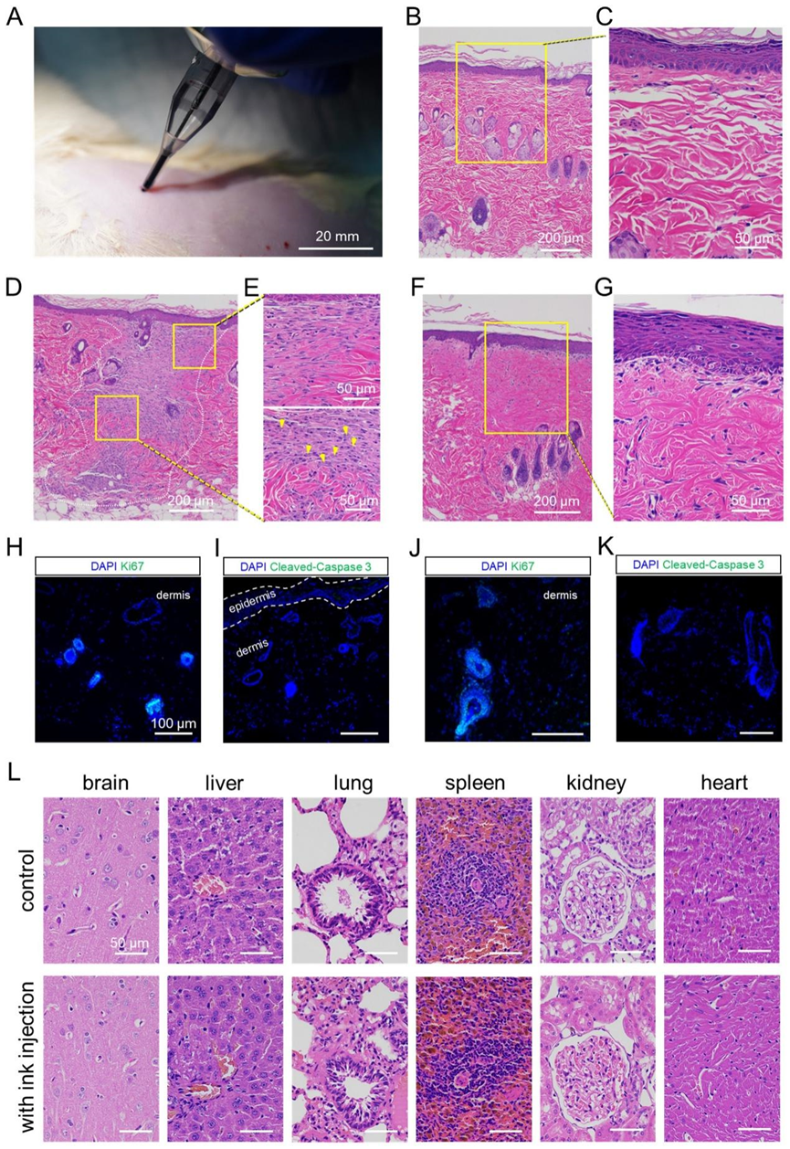
此外,研究团队首次利用纹身技术构筑出真皮纹身电极,实现了SD大鼠体内长达两周的EMG信号稳定记录。墨水注射14天后,SD大鼠皮肤的组织学横截面表明墨水在真皮层中保持最初注入的位置,而不改变皮肤组织结构。此外,连续记录皮肤表面外观表明,墨水注入两周后,角质层基本愈合并覆盖了导电通道。注射墨水的部位能够再生毛发,表明真皮纹身不会引起疤痕或非疤痕性脱发。在纹身注射和EMG记录后持续观察大鼠活动长达三个月,发现其与未经墨水注射的参考大鼠活动并无明显差异,进一步表明PPEL墨水的生物安全性。该工作将纹身电极的应用场景从表皮进一步拓展到皮下真皮层,为深层组织水平上的电子器件和生物组织通信开辟了新途径。

图5 生物相容性评估


图6 体内EMG监测


相关成果近日以“可用于皮肤表面和体内电生理信号监测的超柔性纹身电极”(Ultraflexible Tattoo Electrodes for Epidermal and In vivo Electrophysiological Recording)为题,发表在国际期刊《细胞报告物理科学》(Cell Reports Physical Science)上。清华大学深圳国际研究生院徐晓敏副教授、中国科学院深圳先进技术研究院成会明院士以及清华大学深圳国际研究生院马少华副教授为上述文章通讯作者;清华大学深圳国际研究生院博士后魏斌斌和王子天为文章的共同第一作者。论文作者还包括清华大学深圳国际研究生院王晓浩研究员、张旻副研究员,中国科学技术大学焦学琛研究员、谢飞工程师,哈尔滨工业大学计红军教授、2020级博士周昌杰,清华大学深圳国际研究生院2020级硕士郭昊天、2021级博士生程思敏和博士后楼子瑞等。该研究项目得到了国家自然科学基金、深圳市优秀青年基金、深圳市高等院校稳定支持计划重点项目、广东省自然科学基金以及清华大学深圳国际研究生院启动基金等项目和深圳盖姆石墨烯开云(中国)的支持。

论文链接:https://doi.org/10.1016/j.xcrp.2023.101335


来源:清华大学深圳国际研究生院

文章转载自:https://mp.weixin.qq.com/s/eXs7ItLzvaBSkhZReM6tkg